تکنیک های تصویربرداری در دامپزشکی بخش دوم: سونوگرافی

در دهه 1960 بود که یک تکنیک تصویربرداری جدید، مبتنی بر استفاده از سونوگرافی، در کلینیک های حیوانات کوچک مورد توجه قرار گرفت. این ابزار تصویربرداری جدید، به نام "اولتراسونوگرافی" به سرعت در میان دامپزشکان و کلینیک های حیوانات کوچک در سراسر جهان گسترش یافت. سونوگرافی یک تکنیک تصویربرداری بسیار مناسب است که می تواند اطلاعات بالینی را برای طیف گسترده ای از بیماری ها ارائه دهد. این احتمالاً دلیل اصلی موفقیت آن در بین دامپزشکان بوده است. از ابتدای کاربرد آن مشخص بود که "وابسته به اپراتور" است. برای به دست آوردن نتایج با کیفیت خوب، اپراتور دامپزشک باید به مهارت های دستی خوب، آمادگی مناسب در آناتومی سونوگرافی، نه تنها برای سگ ها و گربه ها، بلکه برای سایر گونه ها دست یابد. علاوه بر این، یک آمادگی خوب برای پاتوفیزیولوژی دستگاه های مختلف ضروری است.
از مهمترین کاربردهای سونوگرافی در کلینیک های حیوانات کوچک می توان به سونوگرافی شکم و قفسه سینه، اکوکاردیوگرافی و سونوگرافی اسکلتی عضلانی اشاره کرد.
سونوگرافی شکم احتمالاً مهمترین کاربرد در کلینیک حیوانات کوچک است. سونوگرافی برای مطالعه اندام های پارانشیمی مانند کبد، کلیه و سیستم ادراری، طحال، غدد درون ریز، غدد لنفاوی، دستگاه تناسلی و دستگاه گوارش مفید است.
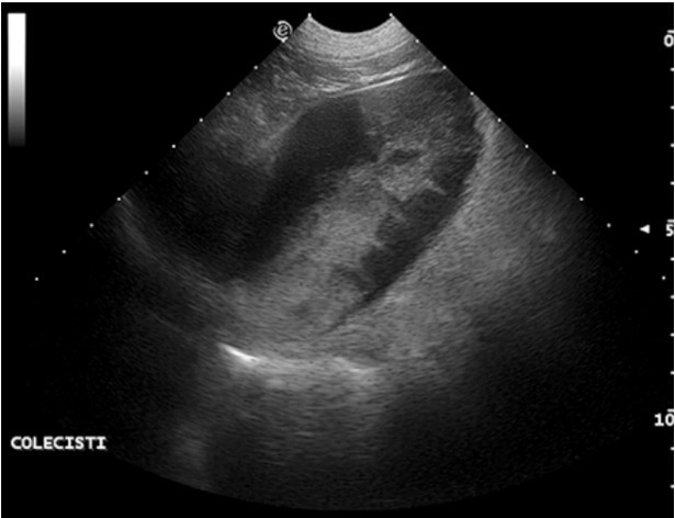
سونوگرافی کبد در درجه اول در موارد بیماری های مزمن (نارسایی کبدی، نفوذ پارانشیم چربی، ضایعات پارانشیمی کانونی) و در پیگیری آنها اندیکاسیون دارد. ویژگیهای تودههای منبسط اولیه/متاستاتیک کبد باید در نظر گرفته شود. وجود کیست های پر از مایع کبدی در گربه ها ممکن است با یک بیماری مادرزادی به نام بیماری کلیوی سیاستی (PKD) مرتبط باشد که اغلب در گربه های اگزوتیک و ایرانی مشاهده می شود. توصیف بدخیمی ندول های پارانشیمی متعدد کبدی را می توان با استفاده از ماده حاجب اولتراسونوگرافی مطالعه کرد. ارزیابی فاز ورید پورتال قادر است بین ندول های خوش خیم و بدخیم با حساسیت و ویژگی بالا تمایز قائل شود همانطور که در پزشکی انسان شرح داده شده است. ارزیابی سونوگرافی از کیسه صفرا و مجرای صفراوی مشترک ممکن است ضخیم شدن دیواره را نشان دهنده کولسیستیت باشد. محتویات آن با "ظاهر الگوی کیوی" رایج ممکن است وجود موکوسل را نشان دهد (شکل 1). سنگ کیسه صفرا، توده های منبسط شده، انسداد مجرای صفراوی مشترک از دیگر شرایطی هستند که می توان آنها را با سونوگرافی توصیف کرد. ارزیابی داپلر جریان ورید پورتال، در صورت نشان دادن، ممکن است شرایط فشار خون پورتال یا شرایط شانت کاوا پورتال را مشخص کند.
شکل1. موکوسل در سگ ماده 12 ساله نژاد مخلوط: اسکن اریب ساژیتال کیسه صفرا. در مجرای بیهوشی کیسه صفرا، ساختارهای پژواک حاکی از "الگوی کیوی" قابل مشاهده است.
سونوگرافی کلیه امکان ارزیابی پارانشیم به ویژه قشر، مدولا و لگنچه را فراهم می کند. اصلاح اکوژنیسیته قشر مغز (کانونی یا منتشر)، نیمرخ کلیه، ابعاد لگن و تغییر عروق نشان دهنده وجود بیماری های مزمن کلیوی است. . علاوه بر این، پیگیری سونوگرافی بیماری مزمن کلیوی همراه با جمع آوری داده های بیوشیمیایی- بالینی برای پزشک بسیار مهم است. با استفاده از سونوگرافی، توده های منبسط گرهی اولیه/چندین، تشکیل کیستیک، تشکیل سنگ و محل آنها در لگنچه یا در امتداد حالب قابل مشاهده است. در برخی موارد، سونوگرافی ممکن است برای ارزیابی خروجی حالب در مثانه مفید باشد و امکان تشخیص حالب نابجا را فراهم کند.
سونوگرافی طحال همیشه باید در طول یک سونوگرافی معمول شکم گنجانده شود و همچنین در برخی شرایط حاد مانند ولولوس معده که طحال ممکن است در پیچ خوردگی درگیر باشد نیز لازم است. (شکل 2).سونوگرافی همچنین در ارزیابی / پیگیری توده های طحال نشان داده می شود. توجه در رویکرد اولتراسونوگرافی توده های گسترده پیچیده که حاکی از پارگی احتمالی است که باعث خونریزی تهدید کننده زندگی می شود، درخواست می شود.
شکل2. پیچ خوردگی طحال در ژرمن شپرد نر 5 ساله. طحال ظاهری V شکل با حاشیه های گرد دارد. پارانشیم طحال بیهوشی است که با لکههای نازک پراکنده پراکنده مشخص میشود.
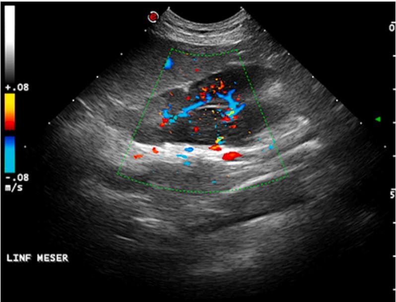
ارزیابی غدد فوق کلیوی به طور معمول در معاینه سونوگرافی شکم انجام می شود. به طور معمول غدد فوق کلیوی بسیار کوچک هستند، به شکل بادام زمینی سمت چپ، بیضیتر از سمت راست هستند. ارزیابی سونوگرافی غده فوق کلیوی راست ممکن است چالش برانگیز باشد، زیرا در مجاورت ورید اجوف دمی از نظر قدامی قرار دارد: وجود هوا در دستگاه گوارش یا معده پر از مایع/غذا شرایطی هستند که اغلب در ارزیابی آن اختلال ایجاد می کنند. اندازه، شکل، اکوتکسچر) غدد فوق کلیوی می تواند به تشخیص کمک کند. شایع ترین بیماری غدد فوق کلیوی شامل هورمون ترشح کننده یا غیر ترشح کننده است. سونوگرافی غدد لنفاوی اغلب در نواحی آناتومیکی مختلف انجام می شود و برای شکم نیز همینطور است. ارزیابی آنها ممکن است مشکوک به وجود بیماری بدخیم یا شرایط التهابی باشد. ویژگیهای سونوگرافی غدد لنفاوی مانند شکل، عروق، اکوژنیک به تشخیص بیماری در حال انجام کمک میکند (شکل 3).
شکل3. لنفوم در گربه نر 9 ساله خانگی. بزرگ شدن غدد لنفاوی شکمی هیپواکویک با منبع خون مخلوط ناف و محیطی.
دستگاه تناسلی اغلب در حیوانات کوچک و بزرگ (به ویژه گاو و اسب) مورد بررسی قرار می گیرد. سونوگرافی در ارزیابی غدد تخمدان و رحم مفید است. علاوه بر این، ارزیابی جنین (اندازه گیری جنین، موقعیت جنین در رحم، زنده ماندن جنین) ممکن است در موارد مامایی واقعا مفید باشد. سونوگرافی دستگاه گوارش (GI) در حیوانات کوچک کمک زیادی به ارزیابی معده، روده کوچک و روده بزرگ می کند. برای معده و روده کوچک، ارزیابی سونوگرافی پریستالسیس نیز ممکن است در نظر گرفته شود. لایه بندی دیواره دستگاه گوارش ممکن است در سطح مخاط، مخاط، زیر مخاط، ماسکولاریس پروپریا وسروز و زیر سروز شناسایی شود. ضخامت دیواره دستگاه گوارش، ظاهر لایههای دیواره، پریستالیس روده، و محتویات روده (گاز، مخاط و/یا مایع، به تنهایی یا با هم) باید همیشه برای ارزیابی کامل دستگاه گوارش در نظر گرفته شود. علاوه بر این، در ارزیابی دستگاه گوارش، مهم است که ناحیه پانکراس همراه با مجرای پانکراس، مجرای صفراوی مشترک و کیسه صفرا در نظر گرفته شود. بیماری هایی مانند ضخیم شدن و افزایش اکوژنیک لایه های دیواره در دستگاه روده، علائم لنفانژکتازی در مخاط (شکل 16)، توده های گسترده دیواره روده اغلب با تغییرات ظاهر غدد لنفاوی ناحیه سونوگرافی مرتبط هستند. در واقع، غدد لنفاوی شکمی اغلب ممکن است اکوژنیسیته، عروقی شدن و تغییرات شکلی مرتبط با بیماری روده در حال انجام را نشان دهند.
سونوگرافی قفسه سینه که سونوگرافی پلورال و ریه (PLUS) نیز نامیده می شود، ابزار مفیدی برای تشخیص علل نابسامان تنگی نفس است، به خصوص زمانی که تصاویر رادیوگرافی استاندارد قفسه سینه نامشخص باشند.
بیماری های ریوی و پلور را می توان از طریق سونوگرافی با تجسم مستقیم ضایعه یا با شناسایی مصنوعاتی(آرتیفکت) که نشانه های فیزیولوژیکی اولتراسوند را تغییر می دهند شناسایی کرد.
علائم اصلی اولتراسونوگرافی با خطوط A، لغزش ریه و خطوط B نشان داده می شود. خطوط A، مصنوعات(آرتیفکت) تکراری هستند که از پرتو اولتراسوند هنگام برخورد با سطح بسیار بازتابنده ناشی از محتوای فیزیولوژیکی هوای ریه سرچشمه می گیرند و در بیماران سالم مشاهده می شوند. آنها به صورت خطوط افقی، موازی و هایپراکویک ظاهر می شوند که از سطح پلورال با فواصل منظم امتداد می یابند و تمایل دارند با عمق اسکن از شدت آنها کاسته شود (طناب) لغزش ریه یک علامت سونوگرافی پویا است و از لغزش پلور احشایی بر روی پلور جداری ایجاد می شود. این حرکت نشان دهنده تماس فیزیولوژیکی دو بافت پلور است خطوط B با خطوط هایپراکوئیک که از سطح مشترک پلور شروع می شوند و عمود بر آن شروع می شوند، نشان داده می شوند که همزمان با تنفس بیمار حرکت می کنند و با همان شدت در عمق تصویر گسترش می یابند (آرتیفکت حلقه پایین). خطوط B نشان دهنده وجود سندرم ریوی آلوئولی-بینابینی است. در صورت تثبیت آلوئول، می توان برونشوگرافی هوا/مایع را مشاهده کرد. سونوگرافی قفسه سینه ابزار مهمی به ویژه در بخش مراقبت های اورژانسی است که در آن اطلاعات سریع ضروری است.
علاوه بر این، سونوگرافی قفسه سینه را می توان در معاینه ریه حیوانات بزرگ به عنوان کره اسب / اسب در نظر گرفت. هم برای حیوانات کوچک و هم بزرگ، معاینه اولتراسوند قفسه سینه در بررسی بیماری مشکوک تنفسی اندیکاسیون دارد. در حیوانات مشکوک به بیماری داخل قفسه سینه، سونوگرافی می تواند برای شناسایی پلورال افیوژن، پنوموتوراکس، بیماری پارانشیم ریوی و سایر بیماری ها استفاده شود (شکل 4).
شکل4. سونوگرافی قفسه سینه از طریق فضای بین دنده ای سمت راست در کره الاغ نر 2 ماهه ساردینیا مبتلا به پنومونی از ردوکوکوس اکوئی. رابط آکوستیک پلور یک وقفه کوتاه را نشان می دهد که ناشی از یک آبسه ریوی ساب پلورال هیپواکوی کوچک (سر پیکان خالی) است.: 1 = رابط آکوستیک پلور. 2 = A-خطوط. 3 = خطوط B.
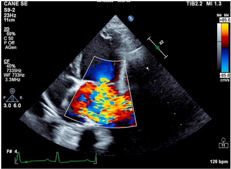
به خوبی شناخته شده است که اکوکاردیوگرافی استاندارد طلایی برای بررسی قابل اعتماد ساختار و عملکرد قلب و عروق در انسان است. با پیشرفت اکوکاردیوگرافی بالینی، روش ها و تجهیزات از انسان به حیوانات کوچک گسترش یافته است. تصویربرداری اولتراسوند به ارزیابی عملکرد قلب کمک می کند. حیوانات کوچک، و اجازه ارزیابی آناتومی و عملکرد قلب بدون ایجاد استرس قابل توجه به بیمار را می دهد. در سگها و گربهها، اکوکاردیوگرافی به شناسایی نقایص آناتومیک مادرزادی مانند مجرای شریانی پایدار (PDA)، تنگی دریچه ریوی/آئورت، نقص دیواره بین دهلیزی/بطنی، سهگانه/تترالوژی فالوت کمک میکند. علاوه بر این، اطلاعاتی در مورد گرادیان فشار در عروق بزرگ برای ارزیابی مناسب گردش خون قلب-ریه می دهد. مطالعات طولی برای ارزیابی گرادیانهای فشار عروقی و استراتژیهای درمان پزشکی ممکن و ضروری است. یکی از شایع ترین بیماری هایی که دریچه های قلب را در سگ ها تحت تاثیر قرار می دهد، اندوکاردیوز دریچه میترال است (شکل 5). بیماری دژنراتیو دریچه میترال (DMVD) یک سگ شایع است.
شکل5. اندوکاردیوز دریچه میترال در یک زن 10 ساله کاوالیر کینگ چارلز اسپانیل. داپلر رنگی در اسکن آپیکال چهار حفره ای نارسایی دریچه میترال را مشخص می کند.
تقریباً 30 درصد از سگ های بالای 10 سال به این بیماری مبتلا می شوند که منجر به نارسایی میترال می شود. اکوکاردیوگرافی استاندارد طلایی برای ارزیابی ساختار و عملکرد قلب است و همراه با الکتروکاردیوگرافی و رادیوگرافی قفسه سینه به ابزار مهمی در ارزیابی می شود. پیشرفت بیماری را نشان می دهد و نشانه هایی را برای ارزیابی مناسب استراتژی های درمان پزشکی ارائه می دهد. سونوگرافی اسکلتی عضلانی یک زمینه به سرعت در حال رشد در دامپزشکی است. سونوگرافی برای اختلالات اسکلتی عضلانی معمولاً در پزشکی ورزشی اسب و طب انسانی استفاده می شود و امروزه به دلیل افزایش تشخیص آسیب های بافت نرم در بیماران حیوانات کوچک نیز بیشتر انجام می شود. مزایای سونوگرافی اسکلتی عضلانی در امکان کاوش است. همچنین اندام طرف مقابل، برای ارزیابی تقارن ساختارهای تاندون، و تکرار سونوگرافی برای ارزیابی روند بهبود. افزایش مسابقات ورزشی که خواستار قدرت بدنی هر چه بیشتر سگ ها است، منجر به افزایش آسیب های اسکلتی عضلانی شده است. بیماری های شانه شامل تاندون عضله دو سیپیتال به عنوان تاندونیت/پارگی جزئی (شکل 6)،عضله بالای خاری و عضله زیر خاری تحت تاثیر پارگی نسبی، و برداشتن استخوان انتهایی تاندون از شایع ترین آسیب های مشاهده شده است. میوزیت مزمن عضلات ایلئوپسوآس باید به عنوان یک بیماری معمولی در نتیجه مسابقات ورزشی سگ ذکر شود. در میان این بیماری ها سایر شرایط پاتولوژیک که می توان از نظر سونوگرافی در نظر گرفت شامل پارگی عضلات، نئوفرماسیون عضلانی (گرانولوم/آبسه/نئوپلازی)، استئوآرتریت و بیماری های تاندون/رباط (التهاب، پارگی جزئی/کامل) می باشد.
شکل6. پارگی تاندون عضله دوسر پروگزیمال راست در یک زن 4 ساله عقیم شده Deutsch Kurzhaar. اسکن طولی درج پروگزیمال تاندون چپ (الف) و راست (ب) عضله دوسر بازو. تاندون راست ساختار اکوی فیبریلار طبیعی قابل مشاهده در سمت چپ را از دست داد، این تاندون هیپواکویک با برخی نقص های کوچک آنکوییک است. S: نیمرخ های دیستال توبرکل گلنوئید کتف راست نامنظم است. h = سطح جمجمه پروگزیمال هومروس. * =تاندون عضله دوسر بازو.
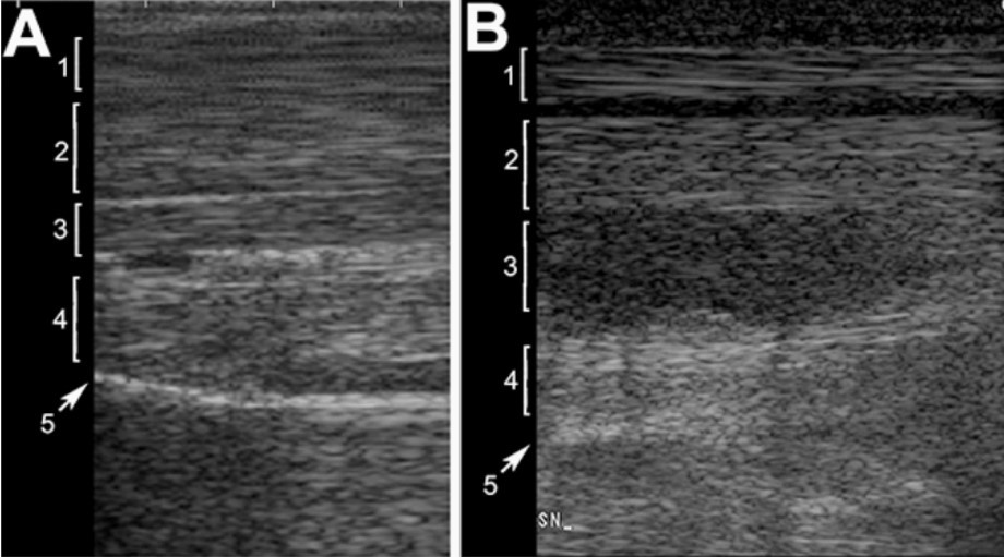
سونوگرافی سیستم اسکلتی عضلانی اسب یک عمل پراکنده است که به ارزیابی تاندون ها، ماهیچه ها و مفاصل کمک می کند و امروزه به خوبی در مطالعات بیماری های ارتوپدی در پزشکی ورزشی اسب مورد توجه قرار گرفته است (شکل 7).
شکل7. اسکن سونوگرافی طولی ناحیه متاکارپ کف دست میانی (پرگزیمال در سمت چپ است). الف) جنبه طبیعی تاندون های فلکسور دیجیتال (سطحی و عمیق)، رباط کارپال جانبی تاندون فلکسور دیجیتال عمقی و رباط آویزان در یک تروتر ایتالیایی نر 3 ساله. ب) پارگی جزئی رباط مچ دستی جانبی چپ تاندون فلکسور دیجیتال عمیق در یک اسب درساژ نر 4 ساله Warmblood: رباط کارپال جانبی بزرگ شده، هیپواکو و با از دست دادن الگوی فیبر است. افسانه: 1 = تاندون فلکسور دیجیتال سطحی. 2 = تاندون فلکسور دیجیتال عمیق. 3 = رباط مچ دستی تاندون فلکسور دیجیتال عمیق. 4 = رباط معلق؛ 5 = سطح کف دست سومین استخوان متاکارپ.
منابع:
Williamson H.D. Veterinary radiology history; equipment; in diagnosis; protection in practice. Vet. Rec. 1978;103:84–87. - PubMed
Johnson V. Diagnostic imaging: reflecting on the past and looking to the future. Vet. Rec. 2013;172:546–551. - PubMed
Schnelle G.B. The history of veterinary radiology. Vet. Radiol. Ultrasound. 1968;9:5–10.
Schnelle G.B. Some new diseases in dogs. Am. Kennel Gaz. 1935;52:25.
Wantz G.E., Frick E.J. X-ray protection. J. Am. Vet. Med. Ass. 1937;91:571.